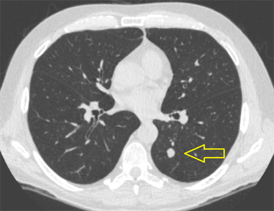
People are getting CT scans more often, and when these CT scans involve the lung it is common to find small spots, which are called lung nodules. Most lung nodules found are not cancerous, and are usually due to some current or past infection. However, a nodule is more or less likely to be cancerous based on the size, appearance, and growth rate. The likelihood also depends on the person’s age and smoking history. If these factors suggest a particular lung nodule is likely to be cancerous, then a biopsy is usually done. On the other hand, if a particular lung nodule is not very likely to be cancerous, we often monitor for growth by repeating CT scans over time. Sorting out which lung nodules are serious and which are not usually requires specialty care by a pulmonologist.

That’s why we formed a Lung Nodule Clinic, designed especially to focus on this common problem. The goal is to quickly evaluate patients who have a lung nodule, then set out a sensible path to manage the problem. This often turns out to be a plan to monitor the nodule with serial CT scans. In some cases we include other interventions: tests such as a PET scan, or biopsy. When appropriate, we review the case with a multi-disciplinary team of radiologists, chest surgeons, and oncologists. We coordinate and facilitate the evaluation promptly, and stay with it until we are certain of the outcome.
